−1才からご高齢者までオーダーメイドの予防歯科、口腔外科治療、訪問診療の充実した大村市竹松の歯医者さん

〒856-0805 長崎県大村市竹松本町545-5

竹松駅より徒歩2分

診療時間
09:15~12:30 ×
14:30~18:30 ×

△:14:30~17:00 *第2・4木曜休診

ご予約・お問合せはこちら

訪問歯科診療

当院ではご高齢によりお身体の不自由な方や精神的な障害をお持ちの方、入院中の方などのご来院が困難な方には、ご自宅、施設、病院での歯科治療、お口のケアが可能です。当院に直接ご連絡をいただくか、担当のケアマネージャーさんにご相談ください。

診療室と同様の歯科治療が可能です

当院ではなかなか歯科医院に通えない方にも、歯科医院で行うのと同様の治療を受けていただき、お口の機能をとり戻してもらいたいと考え、訪問歯科診療の専用機器を揃えております。

入れ歯を削る機械
歯の治療をする機械
移動式レントゲン
吸引・給水付き電動歯ブラシ
口腔ケア時使用する道具

訪問診療はすべて医療保険、介護保険を適用して診療を行います。患者さまの負担金に関しましては、負担割合により金額が異なりますが、通常1回の診療で500~1,000円程度となります。入れ歯や虫歯の治療費は追加いただきます。

「食べられるお口づくり」を目指しています

当院では、虫歯の治療や歯周病の治療、合わなくなったり壊れてしまった入れ歯の治療を行うことはもちろん、歯科衛生士によるお口の中のクリーニングや、患者さまにあったお口のケアをアドバイスさせていただいております。お口の機能が低下することでお食事が摂れなくなることを防ぐため、お口の機能訓練を行い、食べ物を飲み込む訓練も合わせて行うことで「食べられるお口づくり」を目指し、「お口から健康寿命の延伸」を目指します。

当院では、訪問歯科診療において一般的な歯科治療と併せてお口のケアお口の機能訓練を行うという3つのポイントを大切に診療しています。

「食べられるお口づくり」のためのお口の検査

さまざまな口腔機能検査を元に、必要に応じた口腔リハビリテーション治療を行います。

ただ、入れ歯の調整や口腔ケアの訪問歯科診療ではなく、自立支援を目的とした、「食べられるお口づくり」を目指しています。

『食べられる喜び』を取り戻すことで、認知症の改善や健康改善が期待できるといわれており、歯科クリニックとして、できる支援を行っていきます。

嚥下内視鏡(VE)検査
顎機能検査
口唇圧計
顎機能検査
口腔内水分測定器
舌圧計

ご自宅でも専門的な口腔ケアを行います

お口の中の汚れや、歯ぐきの腫れ、入れ歯の不具合、お口の中の細菌やカビ菌は全て誤嚥性肺炎の原因といわれています。誤嚥性肺炎とは、摂食障害が原因で誤嚥してしまうことで、水や食べ物、お口の中の細菌が肺に入り込み、細菌が増殖してしまい肺炎が起こることです。ご高齢の方は僅かな誤嚥でも、呼吸器系の疾患や肺炎につながりやすいため注意が必要です。当院では、噛める入れ歯をお作りし、専門的なお口のケアと、お口の機能訓練を合わせて行うことで誤嚥性肺炎の予防を徹底しています。

全世代における死亡要因は、ガンが第一位と高い確率を占めますが、介護が必要な方の死亡要因を見てみると肺炎がガンに替わり高い割合を占めているのがわかります。

このことからも、介護を必要とする方にとって肺炎は重篤な病気になりうることがわかります。歯科医院に通えない方が専門的なお口のケアを受け、お口にあった入れ歯をご使用いただき、お口の機能訓練を受けていただくことは健康寿命を延ばすことにつながります。

お口の専門的なケアと、入れ歯による肺炎の抑制率

専門的なお口のケアを行うことで、
誤嚥性肺炎を40%抑制することができます。

歯のない方にお口にあった入れ歯をお作りすることで
肺炎の発生率を18%も抑制することができます。

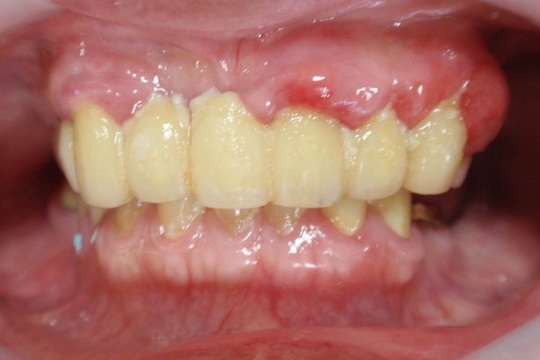
お口の中を見てみてください!

ご家族のお口の中を一度見てみてください。ご高齢者はご自身では痛みを訴えれない方や、お掃除が行き届かない方が多くいらっしゃいます。ぜひ一度ご相談ください。

歯ぐきが赤くなっていたりしませんか?歯や歯ぐきに汚れはありませんか?

入れ歯は洗えていますか?お食事の際入れ歯が外れてしまうことはありませんか?

合わない入れ歯を使用することで、歯ぐきに傷がついてしまうこともあります。

お口の中が白く見えるのは、お口の中でカビの菌が繁殖しているからです。

介護するご家族だけでは、お口のケアの方法など、わからないことがたくさんあると思います。当院では、歯科医師、歯科衛生士が患者さまのお口の状態に合わせた、ご自宅で行えるお口のケアのアドバイスを行っています。歯科医院と同様の歯科治療をご自宅でも行うことができますので、お悩み事がございましたら、些細なことでも大丈夫です。ぜひご相談ください。

訪問歯科診療の流れ

お申込

当院窓口に直接ご連絡(0957-55-8261)ください。
または、担当ケアマネージャーにご相談ください。

初回訪問

カウンセリングを行い、現在のお困りごとなどをヒアリングします。診療内容のご説明や、当院のアセスメントシートを使用して、現在のお口のなかの評価を行います。

治療計画・口腔ケア計画の立案

ヒアリングした内容をもとに、適切な治療やケア方法など、必要な治療計画・口腔ケア計画を立案します。

治療・口腔ケア・お口の機能訓練

作成した治療計画・口腔ケア計画に合わせて、必要な治療やお口のケアを行います。ご自宅で行える口腔ケアの方法も併せてアドバイスさせていただきます。

3ヶ月ごとの再評価

一度治療が終了したら終わりなんてことはありません。定期的に状況や、お困りごとを伺いサポートさせていただきます。

パソコン|モバイル
ページトップに戻る